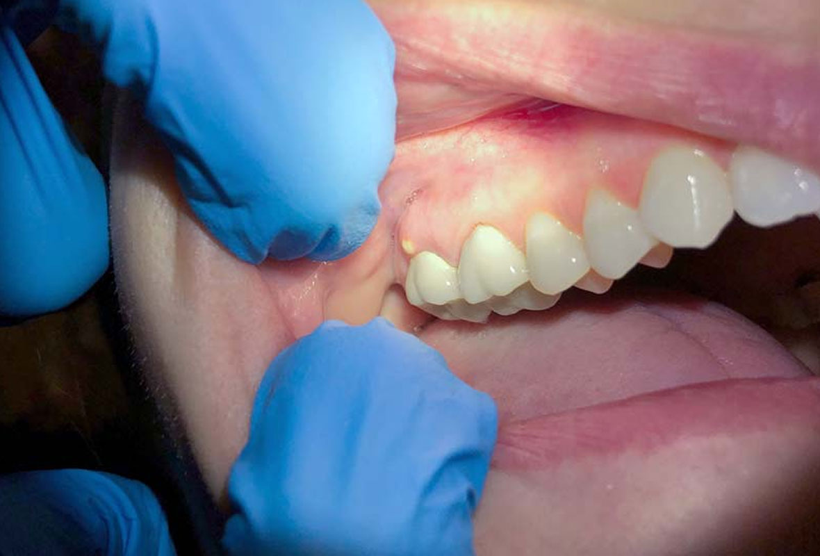
Abscesses

Abscesses are collections of pus anywhere in the body. They can cause severe pain, swelling, and fever. The pain is likely to be of the throbbing variety due to the presence of pus in a closed space.